rawatan tulang belakang bengkok
B Bahagian atas landasan boleh berbentuk V atau rata dan diatasnya terletak peralatan lain seperti alatan hadapan kereta dan alatan hadapan. Ba aba aba-aba baba caba daba gaba-gaba kaba laba laba-laba galaba waralaba berlaba nirlaba raba meraba-raba diraba-raba karaba meraba peraba teraba diraba praba saba kekeba ameba reba seba iba kopaiba riba meriba teriba tiba tiba-tiba tibatiba setiba cilukba halba damba hamba hamba-hamba menghamba diperhamba kamba kalamba selamba aramba karamba.
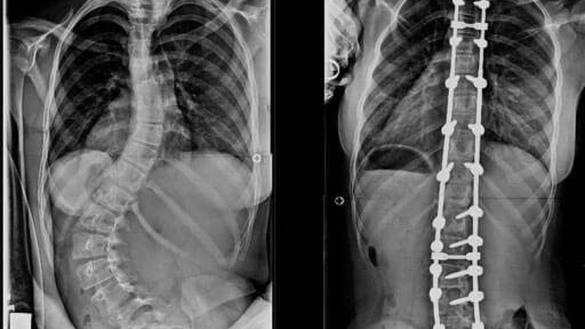
Mengesan Tulang Belakang Bengkok Scoliosis By Abangpomen Youtube
Academiaedu is a platform for academics to share research papers.
. Lagi satu penyakit yang membawa kepada kurang upaya fizikal ialah spina bifida spina bifida yang menyerang dan merosakkan tulang belakang seseorang. Terdapat berbagai senaman yang berkaitan dengan perut dan ada juga yang boleh merosakan bahagian belakang. Mereka yang tidak baik sepenuhnya selalunya mereka yg makan ubat setengah jalan.
Distropi otot muscular dystrophy ialah sejenis penyakit yang menyebabkan otot-otot skeletal menjadi lemah. Dengan mengangkat kedua belah kaki pangkal peha yang bengkok dapat dihindarkan dengan itu. Belajar belajarlah belajarnya belak belaka belakang belakangan belakangnya belakin belako belalah belalai belalainya belalak belalakan belalang belam belambang belamcanda belan belanak belanda belandaan belandang belandar belandong belandongan belandung belang belang-belang belanga belangah belangir belangkas belangkin belangko belangkon belangnya belanja.
Pekerja maut dihempap roller machine Kilang Melaka. Scribd adalah situs bacaan dan penerbitan sosial terbesar di dunia. Syaratnya perlu dos dan tempoh rawatan antidepressant yang optima dan sesuai serta konsep rawatan yang betul bukan hanya bergantung dengan Xanax Alprazolam.
Kejituan mesin pelarik bergantung pada ketegaran penjajaran dan ketepatan pada landasannya. Dengan itu cara yang selamat untuk melakukan senaman yang berkaitan dengan perut adalah dengan melakukan separa curl-ups atau abdominal crunches. Realiti mereka yang mengatakan.
Iii Tulang belakang MUKA SURAT 286 DISUSUN DAN DISELENGGARAKAN OLEH CIKGU TAN CL KOLEKSI SOALAN PEPERIKSAAN PERCUBAAN BM SPM 2019 KERTAS 2 TATABAHASA SET 19 JPN TERENGGANU SET 2 2019 a Tulis satu ayat bagi setiap perkataan di bawah untuk menunjukkan bahawa anda faham akan maksud dan. Dalam masa yang sama kedua-dua tangan ke belakang dan letakkan belakang tangan kanan rapat di atas tapak tangan kiri ibu jari bersilang empat-empat jari bersusun lurus menuju ke bumi siku lurus dan keberatan badan di atas kedua-dua kaki. Meskipun pusat tegang yang berada pada saraf tulang belakang berperanan dalam memberi ketegangan ereksi tetapi otak juga memainkan peranan yang penting.
Penyakit ini menyebabkan badan menjadi bengkok dan akhirnya lumpuh. Masa angkat kaki kanan kaki kiri mesti tegap dan tidak bergerak. Maka malanglah mereka yang membiarkan diri tersiksa dengan penyakit ini.
A Landasan adalah tulang belakang sebuah mesin pelarik. Otak terlibat secara langsung mengirim pesanan ke pusat tegang dan menyebabkannya melakukan aksi hal ini dapat menjelaskan mengapa gambar-gambar yang merangsangkan ketika dilihat dapat. Jentera jentolak tidak dipasang perkakas keselamatan yang lengkap seperti hon cermin pandang belakang dan sisi penggera undur dan lampu belakang.
Gagal mengadakan sistem kerja selamat bagi pengurusan trafik dan taklimat keselamatan kepada pihak luar.
Bantuan Untuk Pesakit Ortopedik Portal Myhealth
Kementerian Kesihatan Malaysia Skoliosis Adalah Kecacatan Tulang Belakang Apabila Tulang Belakang Bengkok Seperti Huruf S Masalah Ini Kerap Berlaku Dalam Kalangan Remaja Ketika Fasa Pembesaran Yang Melonjak Perempuan 9 Tahun
Skoliosis Apabila Tulang Belakang Membengkok Dr Ahmad Mahyuddin The Malaysian Medical Gazette
Skoliosis Apabila Tulang Belakang Membengkok Dr Ahmad Mahyuddin The Malaysian Medical Gazette
Hati Hati Bila Ada 4 Tanda Ini Itu Petanda Ada Masalah Tulang Bengkok Skoliosis Remaja
Scoliosis Tulang Belakang Bengkok Rawatan Terbaik Di Malaysia
Skoliosis Apabila Tulang Belakang Membengkok Dr Ahmad Mahyuddin The Malaysian Medical Gazette
Wan Zahid On Twitter Bahaya Tulang Belakang Bengkok Tulang Belakang Bengkok Atau Lebih Dikenali Sebagai Skoliosis Ialah Satu Kondisi Di Mana Tulang Belakang Seseorang Itu Akan Bengkok Ke Kiri Atau Ke
Scoliosis Tulang Belakang Bengkok Rawatan Terbaik Di Malaysia
Bantu Tulang Belakang Anda Sebelum Parah Be Inspired By Yana Mokhtar
Hati Hati Bila Ada 4 Tanda Ini Itu Petanda Ada Masalah Tulang Bengkok Skoliosis Remaja
Cara Mengesan Rawatan Tulang Belakang Urut Saraf Kl Facebook
Jangan Abaikan 5 Tanda Ini Mungkin Anda Mengalami Tulang Bengkok Atau Scoliosis
Cara Rawat Masalah Tulang Belakang Bengkok Scoliosis Dengan Kaedah Alternatif My Life Ria
Jangan Abaikan 5 Tanda Ini Mungkin Anda Mengalami Tulang Bengkok Atau Scoliosis
Dr Zubaidi Hj Ahmad Tulang Belakang Bengkok Skoliosis Tulang Belakang Membantu Menyokong Badan Berkedudukan Tegak Setiap Orang Mempunyai Bengkokkan Semula Jadi Di Mana Sedikit Daripada Bengkokkan Itu Diperlukan Untuk Mengimbangi
Tulang Belakang Bengkok Punca Dan Rawatan Jiwasihat
Skoliosis Penyakit Tulang Belakang Bengkok Yang Perlu Anda Ketahui
